| 货号 | 操作 | 名称 | 描述 |
|---|
| 图片 | 名称 | 货号货期 | 描述 | 价格 |
|---|
我们的NOCTUA受激拉曼系统无需荧光标记即可对活细胞进行高度特异性成像。图像对比度通过激发样本中的固有分子键产生,为脂质代谢或药代动力学等细胞过程打开了新的窗口。实时或长期观察细胞动态,不受光漂白或标记干扰。图像显示在 2850 cm -1和 2950 cm -1处获取的 MCF7 细胞 ,以突出显示细胞核和细胞质。

超越极限
探索无标记成像,提供z高对比度

无标记成像
提供z高对比度
我们的激发Raman系统 提供高特异性的活细胞成像,无需荧光标记。图像对比度通过激发样本中的内在分子键生成,开启了对细胞过程的新窗口,如脂质代谢或药物动力学。可以实时或长期观察细胞动态,避免了光漂白或标记带来的干扰。
特点:
低噪声探测器
PICUS DUO 激光系统
与各种显微镜连接
内在共焦,用于成像3D样本
全计算机控制,无需调节
即插即用安装
揭示新维度
无需荧光染料
下面您可以看到我们的激发Raman显微镜系统获取的 MCF7 细胞的 SRS 光谱。所谓的 光谱指纹区域 包含了丰富的化学信息。每个峰值代表一个分子键,可以作为生物标志物进行成像和探测。例如,右侧展示了 MCF7 细胞中三酰甘油(黄色,成像在 3015 cm`),苯丙氨酸(蓝色,1030 cm'),酰胺 I 峰值(绿色,1660 cm-1)以及脂质不饱和度水平(品红色,1660 cm" 和 1440 cm' 的比值)的分布。
分子键(波数,单位:cm`)
SRS 成像
l 丰富的化学对比度
l 无需染色
l 每张图像最多可使用 300 个颜色通道

揭示与探索
隐藏的结构
我们的 NOCTUA 显微镜系统 允许在生理相关条件下成像结构和事件,这些结构和事件是荧光标记无法获取的。以下的 SRS 图像 显示了 C. elegans 中的不饱和脂肪酸和胆固醇(上面板)。
下方的面板展示了由脂质形成的皮肤结构(左侧为小鼠耳朵皮肤),以及局部应用的未标记药物通过皮肤的穿透(右侧)。

优化用于超光谱 SRS
l 跨完整拉曼光谱(700 - 3100 cm-1)成像分子键
l 在毫秒级别切换指纹区域到 C-H 区域

分子键(波数,单位:cm`)
分钟内完成
组织诊断
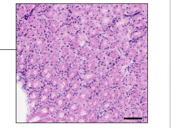
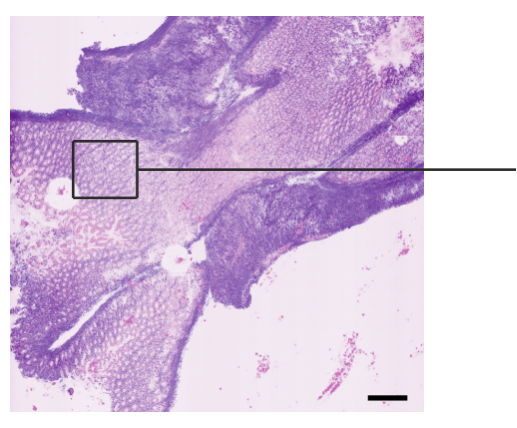
我们的 NOCTUA 激发拉曼显微镜系统 允许对新鲜未处理的组织进行病理评估。以下是小鼠胃切片的无标记图像(比例尺 = 200 μm)。
在几分钟内成像分子键,以重建虚拟的 H&E 对比度,从而在组织中识别细胞体和细胞核。而传统的病理染色方法需要长达 10 小时的时间来创建这种对比度。
虚拟 H&E 对比度
l 与传统染色方法高度一致
l 无需切片或预处理
l 无缝缩放至 700 nm

z高可用
调谐速度
我们的 NOCTUA 系统 提供仅需毫秒级的调谐速度,覆盖 700 到 3100 cm` 的范围。调谐机制支持扫描和切换操作,且无需外部延迟。
宽范围的Raman光谱调谐与快速调谐的结合是任何传统系统无法比拟的。这使得我们的系统成为视频速率 CARS 和 SRS 成像在多个波数上的理想解决方案,或用于快速获取超光谱数据集。
超光谱成像速度提升10倍
· 在700到3100 cm⁻¹之间的调谐速度为毫秒级
· 无需外部延迟或调制器
· [100个光谱点,256*256像素,10微秒停留时间]仅需1分钟
平衡探测器
低噪声成像
为了克服激光噪声,激光噪声通常会阻碍成像系统达到理论的散射噪声极限,我们使用了平衡探测器。通过测量参考光束中的激光噪声,并将其从样品后的SRS信号中减去,可以消除噪声,从而提高信噪比并增加成像速度。
如下所示,我们通过光纤耦合的平衡探测器实现了10 dBc的噪声抑制。为便于说明,右上角显示的是使用标准探测器获得的塑料珠子SRS图像,其信噪比为21。相比之下,右下角显示的是使用低噪声探测器获得的相同图像,信噪比提高至200。

观察细节
高分辨率SRS
我们的NOCTUA刺激Raman显微系统具有低噪声光谱调谐模式,能够解析清晰的光谱共振。这一功能在指纹光谱区域尤其有用。以下是一个例子,您可以看到在约1000波数处,聚苯乙烯的共振被很好地解析,光谱宽度约为9波数。
